• Dólar
  • BNA $1365 ~ $1415
  • BLUE $1395 ~ $1405
  • TURISTA $1774.5 ~ $1774.5

30 C ° ST 31.33 °

Unión Radio 91.3 en vivo

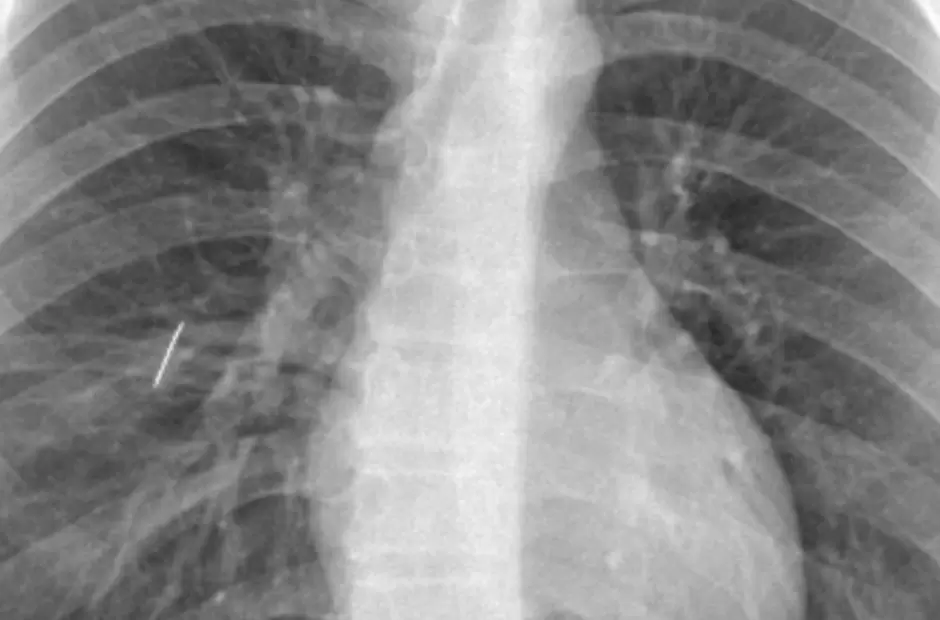
Cirugía inédita

En el San Juan Bautista extrajeron una aguja del pulmón de un joven de 16 años

Se trata de un paciente oriundo de Tinogasta. La rápida respuesta del nosocomio evitó una derivación de altísimo riesgo y puso en valor la capacidad del sistema público para actuar ante emergencias críticas.

2 Abril de 2026 11.51

En una cirugía de alta complejidad, el Servicio de Cirugía General del Hospital Interzonal San Juan Bautista llevó adelante una intervención compleja e inédita para extraer una aguja de coser alojada en el pulmón de un paciente de 16 años, oriundo de Tinogasta, que había ingresado por guardia luego de sufrir un accidente doméstico.

El episodio se produjo cuando el joven se apoyó sobre una caja que contenía un objeto metálico, situación que le provocó un trauma penetrante de tórax. Tras una primera atención en su lugar de origen, el paciente fue derivado al hospital de referencia, donde los estudios confirmaron la presencia del cuerpo extraño dentro del pulmón.

Desde ese momento se activó una cadena de intervención inmediata, orientada a resolver un cuadro de extrema complejidad que, por sus características, no admitía demoras ni traslado a otra jurisdicción.

La primera respuesta

Ni bien ingresó al hospital, el equipo de Emergencias realizó el drenaje torácico mediante la colocación de un tubo, un procedimiento destinado a la evacuación de aire, secreciones y sangre.

Sin embargo, el pulmón no lograba expandirse debido a la presencia de la aguja, lo que obligó a avanzar rápidamente hacia la planificación de la resolución quirúrgica.

La complejidad del caso estaba determinada por la localización precisa del objeto y por el riesgo vital que implicaba mantenerlo en el tejido pulmonar. En ese contexto, el equipo médico definió una estrategia de abordaje que permitiera actuar de forma directa sobre el órgano comprometido.

Una cirugía abierta de una hora y media

La intervención tuvo una duración aproximada de una hora y media y estuvo a cargo del Dr. Fernando Lestussi, junto al equipo del Servicio de Cirugía General.

Debido a la ubicación del objeto metálico y a las características clínicas del cuadro, se resolvió realizar una cirugía abierta, una técnica de mayor riesgo que una menos invasiva, pero necesaria para asegurar la extracción del cuerpo extraño. Pese a la complejidad, el hecho de tratarse de un paciente joven y sin enfermedades de base favoreció el desarrollo del procedimiento, que no presentó complicaciones.

El propio Dr. Lestussi explicó el cuadro en términos precisos: "Se trató de un trauma penetrante de tórax con un objeto metálico que resultó ser una aguja de coser, clavada en el pulmón. Era un caso que no podía derivarse por el riesgo que implicaba el traslado, por lo que la resolución debía hacerse en nuestro hospital, y con mucha satisfacción podemos decir que lo realizamos profesionales del hospital".

Intubación selectiva

Uno de los aspectos técnicos más relevantes de la cirugía fue la participación del Servicio de Anestesiología, que mediante el uso de fibrobroncoscopio realizó una intubación selectiva.

Esta técnica permitió ventilar un solo pulmón mientras el otro permanecía sin funcionamiento, posibilitando intervenir directamente sobre el pulmón afectado con mejores condiciones de visibilidad y con una reducción significativa de riesgos.

El aporte de esta maniobra fue determinante para la extracción segura de la aguja. En palabras del Dr. Lestussi: "La intubación selectiva fue clave, ya que permitió trabajar sobre el pulmón comprometido en condiciones seguras, mientras el otro continuaba garantizando la oxigenación del paciente".

¿Cómo sigue el paciente?

El caso puso en valor la capacidad de respuesta del sistema público de salud frente a situaciones novedosas y de alta complejidad, especialmente en contextos donde la derivación no es posible por el riesgo extremo que representa. Según se destacó, el traslado del paciente —por vía terrestre o aérea— hubiese implicado un altísimo riesgo de vida, por lo que la resolución debía concretarse en la provincia.

La cadena de intervención incluyó:

  • Hospital de Tinogasta
  • Servicio de Emergencias en el traslado
  • equipos de Emergentología del Hospital Interzonal
  • servicios clínicos, diagnósticos y terapéuticos
  • servicios involucrados en la resolución quirúrgica

El equipo quirúrgico estuvo integrado por:

  • Servicio de Cirugía General: Dres. Fernando Lestussi y Hector Leiva
  • Servicio de Anestesiología: Dra. Daniela Cruz
  • Servicio de Quirófano Central: Instrumentador Carlos Cardozo
  • Circulante: Nicolás Marcial

Actualmente, el joven se encuentra en buen estado de salud, con una evolución favorable acorde a su edad y condición física, y con proyección de alta para los próximos días.

La resolución exitosa de esta cirugía inédita refuerza la capacidad del Hospital Interzonal San Juan Bautista para brindar una respuesta oportuna, eficaz e integrada ante cuadros críticos, consolidando el valor estratégico del sistema público provincial en emergencias de alta complejidad.